- Dec 10 Sun 2017 00:00
-
朱志純醫師編著2017年版漏斗胸治療手冊
- Aug 14 Mon 2017 14:37
-
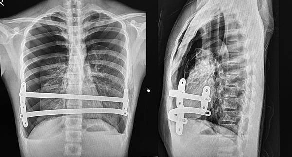
漏斗胸微創手術的演進---從2D至3D列印

自從Dr. Donald Nuss發明了納氏微創手術後,這項技術革命性的改變了漏斗胸的治療觀念。
這項技術的原理是在肋骨間置入一矯正板,利用外側的下方肋骨支撐起內側的上方肋骨。原理簡單,但變化很大,如肋間的選擇,矯正板長度及弧度的變化, 固定方式等等,使得每位醫師做的方法都不同,更造成了經驗多與少的差別。
- Oct 11 Tue 2016 17:36
-
朱志純醫師2016/10/6受邀三軍總醫院演講漏斗胸之治療
- Jan 24 Sun 2016 22:21
-
天冷, 手術後要注意上半身保暖
- Nov 09 Mon 2015 10:00
-
須仔細評估心臟被壓迫的影響

漏斗胸主要是因胸前壁胸骨及肋骨, 肋軟骨向內凹陷, 造成胸腔內容積滅少, 除了肺活量降低以外, 更可能壓迫心臟, 造成心二尖瓣膜逆流, 三尖瓣膜逆流, 肺動脈瓣膜逆流, 二尖瓣膜脫垂, 心律不整, 心悸, 心摶出降低, 心肌缺氧等等問題, 大多隨年紀而漸漸明顯,.
對漏斗胸的評估, 應注意心臟的影響
- Oct 09 Fri 2015 09:17
-
兒童漏斗胸治療年齡觀念的改變

最近統計了病人的資料, 年齡分布由2歲到55歲, 各年齡層都有不同的影響及治療重點.
以前醫界常忽略了兒童生長的重要性, 甚至有醫師主張只在成人做手術, 而耽誤了兒童最佳的治療時機. 我們發現, 小於八歲的兒童, 在手術治療後, 因心肺壓迫的緩解, 大多有很明顯的生長改善.
- Sep 07 Mon 2015 16:04
-
35歲香港漏斗胸病友術後感
35歲香港漏斗胸病友術後感
大家好! 我是香港的漏斗胸病友, 今年35歲。 我是2015年1月底開的刀, 術後至今已差不多7 個月, 康復進展良好, 游泳、跑步沒有問題, 只是打噴嚏、咳嗽和大笑時還會有些痛, 其他日常生活大致上都一切如常。 術後胸部外型明顯得到改善, 心肺功能的改變尚待進一步觀察。
大家好! 我是香港的漏斗胸病友, 今年35歲。 我是2015年1月底開的刀, 術後至今已差不多7 個月, 康復進展良好, 游泳、跑步沒有問題, 只是打噴嚏、咳嗽和大笑時還會有些痛, 其他日常生活大致上都一切如常。 術後胸部外型明顯得到改善, 心肺功能的改變尚待進一步觀察。
- Jul 25 Sat 2015 11:00
-
八歲男童凹胸手術矯正

朱志純醫師表示, 嚴重漏斗胸除了造成外觀明顯變形外, 更會因為壓迫心肺而造成體質瘦弱. 及早的手術矯治對兒身心健康, 十分重要.
下圖可見嚴重漏斗胸(凹胸)病人手術矯治前後體質改善明顯.
囼
- May 15 Fri 2015 22:18
-
朱志純醫師當選CWIG 的executive committe member

Prof. Robert Kelly(USA), Dr. Park (Korea), Dr. Nuss (納氏手術發明人), 與朱志純醫師
這次參加CWIG (Chest Wall International Group,國際胸壁學會)2015在香港舉辦的大會, 感謝Dr. CK LO完美的安排. 演講也很成功. 更有幸地是被選為member of CWİG Executive committe, 能與世界大師們一同規劃以後國際胸壁學會的活動規劃及推動學術交流. 能代表台灣為國際胸壁醫學做點貢獻 .
- May 14 Thu 2015 09:55
-
病友們實現人生的夢想

有了健康的身體,許多病友終於實現了人生的夢想。在2015香港CWIG 大會的演講上,我舉例了兩位病友夢想的實現,一位在美國取得了飛行執照,實現了當飛行員的夢想,能駕飛機上青天,一位在香港健美界有了很大的成就。
另外,也有兩位病友從事潛水教學。
很敬佩他們能克服困難,實現自己的夢想。
- Dec 21 Sun 2014 21:27
-
納氏手術的演進

1987年, Donald Nuss 醫師在 Children's Hospital of The King's Daughters, Norfolk, Virginia 發展出了以微創手術將金屬板植入胸內支撐起凹陷的胸壁方式來治療漏斗胸(凹胸, pectus excavatum). 他在十年後發表他的成果, 這項手術也迅速被廣泛接受, 成為治療漏斗胸的主流.


