http://www.nownews.com/n/2016/12/24/2350808
- 12月 25 週日 201609:35
"因漏斗胸被渣男拋棄 張小筑:不要也罷"
- 10月 23 週日 201620:55
漏斗胸病友常合併有肋緣展開, 大多在手術後, 情況可改善.
許多病友因凹陷的胸骨, 將肋軟骨內拉, 造成肋緣弧度過大, 向外展開凸出, 造成flared ribs.經過微創納氏手術, 將胸骨擡高, 肋緣展開的情況多會有明顥改善.
- 8月 13 週六 201619:54
成年人手術後起床及躺下建議方式.
成年人在Nuss procedure手術後的一兩週內, 有時在起床及躺下時, 會感覺用不上力, 可採用這種方法: 躺下時, 雙手十指交叉, 放在一膝後 雙下肢伸直, 緩緩調節身體重心, 上半身向後傾. 起身時, 雙手十指交叉, 放在一側大腿後, 兩下肢伸直, 擺動另一腿, 以下肢重力, 將上半身拉起. 影音中病友手術後兩週的示範動作, 以供病友們參考.
- 8月 10 週三 201621:32
為美國在里約奧運拿到一面銅牌的漏斗胸病友 Cody Miller
漏斗胸病友不一定會有心肺壓迫, 或造成體力上的衰弱, 就像這次為美國在里約奧運拿到一面銅牌的漏斗胸病友 Cody Miller 雖然罹患有凹胸(漏斗胸, pectus excavatum, funnel chest), 但仍能有不錯的體力表現, 特別貼出, 供病友們參考, 大家努力.
http://www.huffingtonpost.com/entry/cody-miller-swimming-olympics_us_57a880b1e4b056bad216025a
http://www.huffingtonpost.com/entry/cody-miller-swimming-olympics_us_57a880b1e4b056bad216025a
- 8月 09 週二 201608:51
轉貼晨晨的分享
http://blog.xuite.net/ellenhuang1224/twblog/146621297-%E6%99%A8%E6%99%A8+%E6%BC%8F%E6%96%97%E8%83%B8%E5%BE%AE%E5%89%B5%E6%89%8B%E8%A1%93+%E6%9C%B1%E5%BF%97%E7%B4%94%E9%86%AB%E5%B8%AB
- 7月 05 週二 201609:47
西方藝術中的凹胸(漏斗胸)隱士
- 6月 26 週日 201622:56
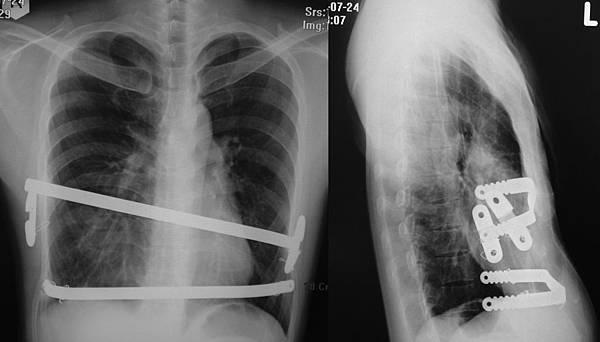
沒想到還有這個用途....矯正板意外時額外的保護.
一位年輕病友, 三年前手術, 裝了二條矯正板, 預計今年要來移除的, 卻在四個月前發生嚴重車禍, 當時可能車速很快, 在嚴重撞擊後, 有胸部及腹部鈍傷, 他的左胸肋骨斷了五條, 有兩側大量血胸, 胃破裂, 脾臟破裂, 在南部醫院做了兩側胸管引流, 胃修補手術, 及脾臟切除手除, 當時急救的醫師說, 幸而有矯正板保護了心臟, 不然這麼大的撞擊, 可能情況會更嚴重. 在近千例病友中, 這已是第二例了
- 6月 21 週二 201618:40
凸胸(雞胸)的治療, 大多不用手術
胸廓胸廓凸出異常, 簡稱凸胸或雞胸, 大多不需手術, 而用穿戴式背架, 幾乎都能有滿意的結果.
- 6月 17 週五 201621:21
困難漏斗胸的治療--1
一位南部來的病友, 已做過兩次微創手術, 但仍未達理想效果, 仍然有心肺壓迫. 病人的前胸壁已有好幾處傷口, 胸壁仍然凹陷, 我們發現他的胸部缺乏彈性, 胸部X光呈現胸內兩條矯正板已向內凹陷變形. 病人以為是矯正板支撐力不足, 但經檢查後發現主要原因還是支撐點的選擇不適當. 最後, 取出兩條矯正板, 改罝入一條矯正板即可到達理想的治療結果. - 1月 21 週四 201609:21
20歲女性...手術....結婚....生子....移除
我已經拆除1年,趁腦袋完全健忘之前,分享一下關於“我個人”部分的矯正心得。
1.我從小就發現自己有漏斗胸,父母不以為意,到約青春期過後漸漸嚴重,有容易喘不過氣、極度消瘦、後期有心臟疼痛等問題。
------
2.我是20歲時手術、同時手術的弟弟當時10歲,我們都只裝設一支+固定器。我弟的凹陷程度跟我相比較輕、症狀也較輕,手術花費時間比我短很多。
1.我從小就發現自己有漏斗胸,父母不以為意,到約青春期過後漸漸嚴重,有容易喘不過氣、極度消瘦、後期有心臟疼痛等問題。
------
2.我是20歲時手術、同時手術的弟弟當時10歲,我們都只裝設一支+固定器。我弟的凹陷程度跟我相比較輕、症狀也較輕,手術花費時間比我短很多。
